
The Role of Dental Implants in Restoring Confidence
November 6, 2025
The Pros and Cons of At-Home Teeth Whitening Kits
November 10, 2025
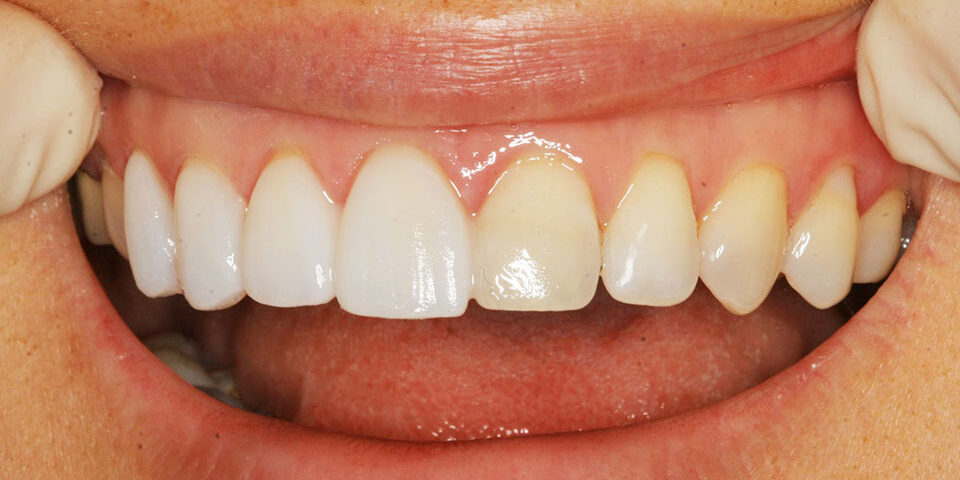
Dental restorations repair or replace tooth structures, and they can address both functional and aesthetic concerns. Among these, dental veneers are a conservative option focused specifically on improving the cosmetic appearance of teeth. By covering the front surface of a tooth, a veneer can alter its visible characteristics in a controlled manner.
What Are Veneers?
Veneers are thin, custom-made shells that bond to the front surface of teeth to improve their appearance. They are typically fabricated from materials like porcelain or composite resin. The application of veneers can offer several aesthetic benefits, including enhanced appearance consistency across the smile. Other potential improvements include color stability, refined tooth shape, symmetrical edges, and balanced proportions. While veneers provide a method for addressing cosmetic goals, the final outcome depends on several factors, such as:
- Patient Oral Health
- Materials Used
- Practitioner Technique
What Are the Types?
The two primary types of veneers are porcelain and composite resin. Porcelain veneers are highly durable and known for their natural-looking appearance, making them a common choice for those seeking long-term results. They are custom-crafted in a dental lab, requiring detailed preparation and precision. Composite resin options are typically less invasive and are applied directly to the teeth in a single visit, offering a faster solution for minor cosmetic concerns.
Each veneer type has its advantages, and the choice between them depends on factors like the desired outcome and the specific recommendations of the dental professional. Several types of veneers are available, and the selection depends on the individual case and desired outcome. Some other veneer options include:
- Minimal-Prep Options: These require less removal of the natural tooth surface compared to traditional options, and they are suitable for more minor teeth concerns.
- Temporary/Provisional Options: These are placed for a short period to protect the teeth and preview the final look while the permanent veneers are being made.
- Removable Options: These are temporary options that can be removed for cleaning and maintenance, but may not provide the same level of durability as permanent veneers.
- No-prep Options: These types do not require any tooth preparation and are bonded directly onto the surface of the teeth, making them a less invasive option.
How Do They Treat Imperfections?
Veneers can be used to address a range of cosmetic imperfections by masking the underlying teeth. For teeth with discoloration that does not respond to conventional whitening treatments, veneers provide a new, whiter surface. The planning process involves carefully selecting shade to match surrounding teeth or achieve the desired overall brightness.
Gapped Teeth
Veneers visually reduce or close gaps between teeth by making the teeth appear more uniform and wider. This adjustment is performed within functional limits, and a professional first assesses the patient’s bite and overall dental proportions for a balanced result. The goal is to create a harmonious smile that does not negatively impact oral function.
Malformed or Damaged Teeth
Veneers are an option for covering minor cosmetic flaws such as small chips, worn edges, or irregularities in tooth shape. They create a smooth, intact surface, restoring a more uniform appearance to the tooth. When a tooth has significant structural damage or other types of restorations, like a crown, veneers may be necessary to provide adequate support and function.
Schedule an Appointment Today
Veneers are a good restoration option if you have mildly damaged teeth, gapped teeth, or stained teeth. An appointment typically involves a comprehensive assessment where your dentist evaluates your teeth and discusses your aesthetic goals. To determine if veneers are a suitable option for you, schedule an appointment with a specialist today.

